症例|柏市・柏駅の矯正歯科|いいね矯正歯科|認定医常駐で全曜日診療
- 〒277-0842千葉県柏市末広町4-1 鈴木ビル6F
- Tel.04-7136-7530
症例|柏市・柏駅の矯正歯科|いいね矯正歯科|認定医常駐で全曜日診療
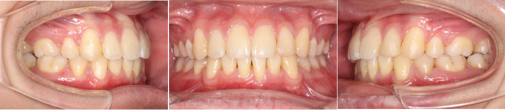
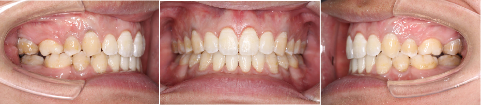
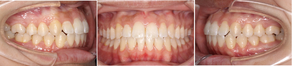
15歳/叢生/抜歯あり
- 気になるところ
-
下の前歯のガタガタ
- 診断名
-
叢生(デコボコ)
- 使用装置
-
マルチブラケット装置(表側ワイヤー)
- 抜歯部位
-
上下顎両側第一小臼歯(前から4番めの歯)
- 治療期間
-
3年6ヵ月(通院回数31回)
- 治療費(税込み)
-
948,200円
880,000円(装置料)+68,200円(処置料2,200×31回)
- 治療のリスク
-
歯肉退縮、歯根吸収、歯髄壊死、痛み、治療後の後戻り
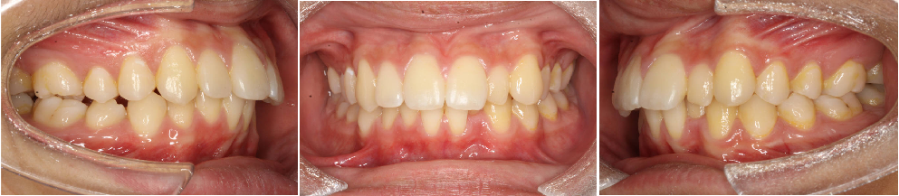
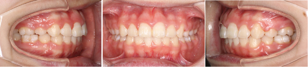
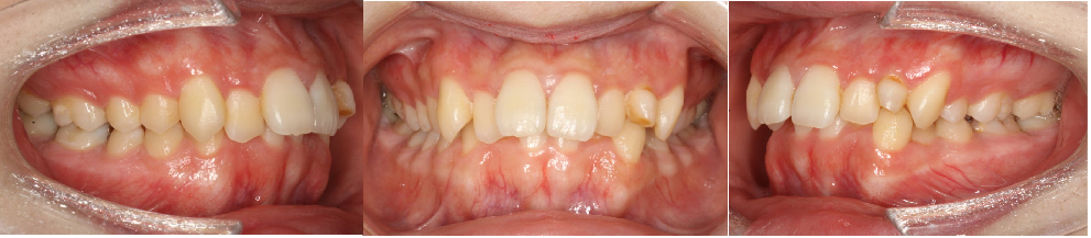
19歳/過蓋咬合/抜歯あり
- 気になるところ
-
上下の前歯のガタガタ
- 診断名
-
過蓋咬合(深い噛み合わせ)
- 使用装置
-
マルチブラケット装置(表側ワイヤー)
- 抜歯部位
-
上顎両側第一小臼歯(前から4番めの歯)
- 治療期間
-
1年10ヵ月(通院回数21回)
- 治療費(税込み)
-
926,200円
880,000円(装置料)+46,200円(処置料2,200×21回)
- 治療のリスク
-
歯肉退縮、歯根吸収、歯髄壊死、痛み、治療後の後戻り
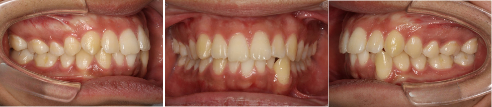
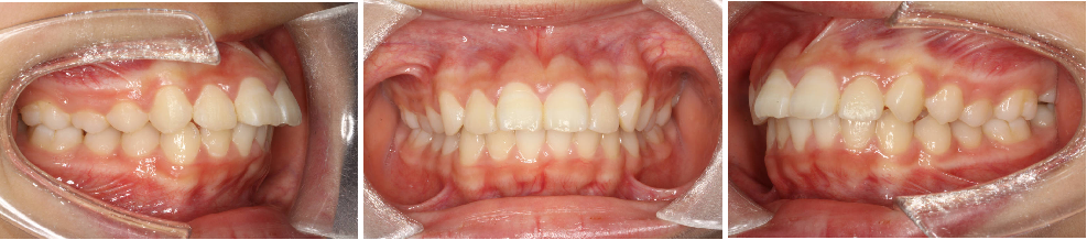
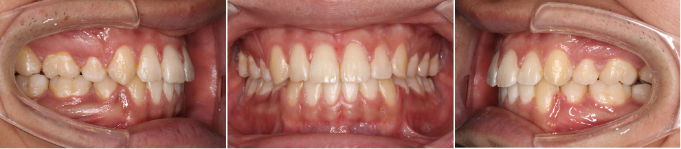
23歳/叢生/抜歯なし
- 気になるところ
-
左上の前歯が出ている
- 診断名
-
叢生(デコボコ)
- 使用装置
-
マルチブラケット装置(表側ワイヤー)
- 抜歯部位
-
非抜歯
- 治療期間
-
1年6ヵ月(通院回数18回)
- 治療費(税込み)
-
919,600円
880,000円(装置料)+39,600円(処置料2,200×18回)
- 治療のリスク
-
歯肉退縮、歯根吸収、歯髄壊死、痛み、治療後の後戻り
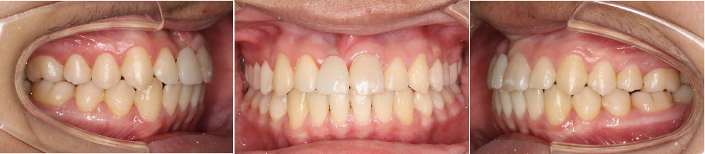
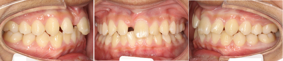
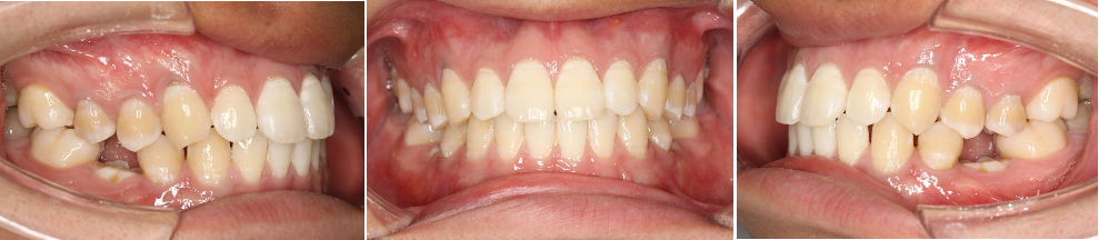
13歳/右上1番欠損/抜歯なし
- 気になるところ
-
右上の前歯がない
- 診断名
-
叢生(デコボコ)
- 使用装置
-
マルチブラケット装置(表側ワイヤー)
- 抜歯部位
-
非抜歯
- 治療期間
-
1年9ヵ月(通院回数20回)
- 治療費(税込み)
-
924,000円
880,000円(装置料)+44,000円(処置料2,200×20回)
- 治療のリスク
-
歯肉退縮、歯根吸収、歯髄壊死、痛み、治療後の後戻り
20歳/下顎両側5番欠損/抜歯あり
- 気になるところ
-
下の奥歯の永久歯がない
- 診断名
-
歯性上下顎前突
- 使用装置
-
マルチブラケット装置(表側ワイヤー)
- 抜歯部位
-
上顎両側第二小臼歯(前から5番目)、下顎両側第二乳臼歯(E)
- 治療期間
-
3年4ヵ月(通院回数31回)
- 治療費(税込み)
-
948,200円
880,000円(装置料)+68,200円(処置料2,200×31回)
- 治療のリスク
-
歯肉退縮、歯根吸収、歯髄壊死、痛み、治療後の後戻り
11歳/上顎前突/抜歯あり
- 気になるところ
-
上の前歯が出ている
- 診断名
-
上顎前突(出っ歯)
- 使用装置
-
マルチブラケット装置(表側ワイヤー)
- 抜歯部位
-
上下顎両側第一小臼歯(前から4番目)
- 治療期間
-
2年8ヵ月(通院回数32回)
- 治療費(税込み)
-
950,400円
880,000円(装置料)+70,400円(処置料2,200×32回)
- 治療のリスク
-
歯肉退縮、歯根吸収、歯髄壊死、痛み、治療後の後戻り
18歳/上下顎前突/抜歯あり
- 気になるところ
-
上の前歯が出ている、下の歯のがたつき
- 診断名
-
上下顎前突
- 使用装置
-
マルチブラケット装置(表側ワイヤー)
- 抜歯部位
-
上下顎両側第一小臼歯(前から4番目)
- 治療期間
-
2年8ヵ月(通院回数32回)
- 治療費(税込み)
-
950,400円
880,000円(装置料)+70,400円(処置料2,200×32回)
- 治療のリスク
-
歯肉退縮、歯根吸収、歯髄壊死、痛み、治療後の後戻り
